Uma mulher idosa na Flórida viveu com óleo em seus pulmões – por décadas – graças a um procedimento, agora inadequado, que recebeu em seus 20 anos para tratar a tuberculose (TB), de acordo com um novo relatório.
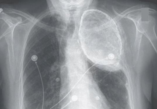
A mulher de 86 anos foi ao médico por causa de uma dor ardente no peito e no estômago. Ela foi diagnosticada com refluxo ácido, e seus sintomas melhoraram depois que ela começou o tratamento para a condição. Mas enquanto ela estava no hospital, ela fez uma radiografia de tórax que mostrava algo incomum: havia uma área opaca e turva na parte superior do pulmão esquerdo.

Esta área nebulosa era preocupante para seus médicos, porque poderia significar que ela tinha acumulação de fluidos no espaço entre a parede do peito e seu pulmão, conhecida como a cavidade pleural. Em pessoas com certas condições, sangue ou pus podem se acumular nesta área.
No entanto, a mulher lembrou de ter se submetido a um tratamento de tuberculose, no qual óleo era injetado em seus pulmões. Este procedimento foi chamado oleothorax, e foi abandonado na década de 1950 após antibióticos eficazes para TB terem sido descobertos, disse o Dr. Abhilash Koratala, professor assistente de medicina na Universidade da Flórida, que tratou a mulher e co-autor do relatório de sua caso.
A maioria dos pacientes que receberam o tratamento com óleo, teve o óleo retirado para fora de seus pulmões. Mas alguns pacientes nunca voltaram ao médico remover o óleo, porque já não estavam tendo sintomas de tuberculose, como foi o caso com esta paciente, segundo o relatório do caso.
A idéia por trás de oleothorax era usar injeções do óleo, tais como o óleo vegetal ou mineral, para colapsar o pulmão afetado por bactérias da TB, Koratala disse. Nos anos 1930 aos anos 1950, os médicos pensaram que tal “terapia de colapso” daria uma parte do pulmão uma chance de descanso, e ajudaria a matar as bactérias da tuberculose, de acordo com o Museu de Saúde em Kingston, Ontário, Canadá.
Quando o óleo é injetado na cavidade pleural, os vasos sanguíneos e vasos linfáticos na área inicialmente absorvem parte do óleo, disse Koratala. No momento em que o tratamento estava em uso, os médicos muitas vezes tinham de “encher” esta parte do pulmão com óleo até que ele entrasse em colapso, disse ele. Mas ao longo do tempo, as membranas na cavidade deixariam de absorver o óleo, provavelmente devido a danos ao tecido causados pelo óleo, disse Koratala. Isso permitiu que o óleo permanecesse na cavidade pleural, mantendo o pulmão em colapso. Depois de muitos anos, alguns depósitos de cálcio ocorreria na área, e a massa de petróleo se estabilizaria, disse Koratala.
O achado de oleotórax neste paciente foi acidental já que não estava lhe causando nenhum sintoma, e não estava relacionado ao seu refluxo ácido, disseram os médicos.
Como a condição da mulher era estável, não havia necessidade de realizar um procedimento para retirar o óleo agora, disse Koratala. Os riscos de tal procedimento superariam os benefícios para estq paciente, e a calcificação na área tornaria difícil remover o óleo, disse ele.
Embora a parte superior do pulmão da mulher continue colapsada pelo óleo, o resto do pulmão está bem e ainda pode funcionar, disse Koratala
Mas é importante para a mulher e seus médicos estarem cientes da condição, porque alguns pacientes experimentam complicações de oleothorax, incluindo infecção ou expansão da área, o que pode causar problemas respiratórios, Koratala disse.
“Temos que estar conscientes das complicações do oleotórax para que as tratamos de forma apropriada e oportuna”, disse Koratala.
E mesmo que esta condição é rara, também é importante para os médicos para mantê-lo em mente, a fim de evitar tratar os pacientes desnecessariamente quando eles não têm sintomas, disse Koratala. Em alguns casos, os médicos que viram pacientes que se submeteram a oleotórax suspeitaram que os pacientes tinham câncer de pulmão, e pediram desnecessariamente biópsias do pulmão, disse ele.
fonte: New England Journal of Medicine/LS
